骨组织工程(Bone Tissue Engineering, BTE)旨在克服传统骨移植的局限性,如供体部位发病率和免疫排斥反应。传统治疗方法中,自体骨移植(如髂骨)和同种异体移植虽被广泛使用,但存在供体有限、二次手术风险及免疫排斥等问题。因此,开发新型生物活性支架成为研究热点。
近年来,三维(3D)打印技术,尤其是基于挤出的熔融沉积建模(FDM),因其能够精确控制支架结构、几何形状和孔隙率,成为制造个性化骨支架的重要手段。聚己内酯(PCL)作为一种线性脂肪族热塑性聚酯,因其良好的生物相容性、低免疫原性、成本效益和缓慢降解速率,成为3D打印骨支架的理想材料。然而,PCL本身的疏水性限制了细胞黏附和增殖,因此需要表面改性以提高其生物活性。
外泌体(Exosomes)是细胞分泌的纳米级细胞外囊泡,能够携带多种生物活性分子(如蛋白质、核酸、脂质等),在细胞间通讯中发挥重要作用。其在骨再生中的应用逐渐受到关注,尤其是来源于成骨细胞的外泌体(ODExo)在诱导成骨分化方面的潜力尚未被充分挖掘。
采用挤出式3D打印技术制备PCL支架,随后进行等离子体处理以增强表面亲水性,再通过胶原涂层改善细胞黏附性能。支架设计参数包括:孔径约350 μm,丝径约500 μm,孔隙率约53%,压缩模量约58.4 MPa。
从人成骨细胞样细胞(Saos-2)培养液中提取外泌体,采用超速离心法结合试剂盒纯化。通过动态光散射(DLS)、透射电镜(TEM)、扫描电镜(SEM)和Western blot检测外泌体粒径、形态及表面标志物(CD9、CD63、CD81),确认其身份。
将人子宫内膜间充质干细胞(hEnMSCs)接种于胶原涂层PCL支架上,分别施加不同浓度(0–250 μg/mL)的ODExo,以不含外泌体的增殖培养基为阴性对照,含成骨诱导液的培养基为阳性对照。通过茜素红S(ARS)染色检测钙沉积,qRT-PCR检测成骨相关基因(ALP、RUNX2、OCN、ON)表达。
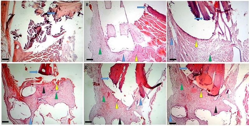
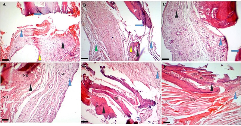
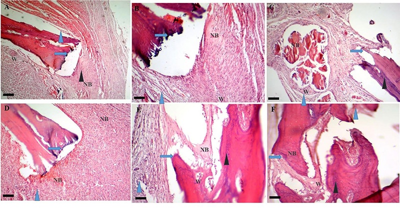
建立大鼠颅骨临界尺寸缺损模型(直径1 cm),随机分为6组:空白对照、单独外泌体、单独hEnMSCs、PCL/Col支架、PCL/Col+外泌体、PCL/Col+外泌体+hEnMSCs。术后14、28、42、56天取材,进行组织学(H&E染色)评估骨再生评分(BRS)。
| 论文标题 | Exosome-functionalized collagen-coated 3D-printed PCL scaffold for enhanced osteogenic differentiation and bone regeneration: an in vitro and in vivo study |
|---|---|
| 中文译名 | 外泌体功能化胶原涂层3D打印PCL支架促进成骨分化与骨再生:体内外研究 |
| 期刊名称 | Journal of Biological Engineering |
| 发表时间 | 2025年 |
| 作者 | Fatemeh Ghorbani Shemshadsara, Jafar Ai, Mohammad Bayat 等 |
| 通讯作者 | Naghmeh Bahrami (naghmehbahrami@gmail.com) |
| DOI | 10.1186/s13036-025-00578-w |
| 关键词 | 3D打印支架;聚己内酯(PCL);胶原涂层支架;成骨细胞来源外泌体(ODExo);成骨分化;骨组织工程 |
|
|
全面解析森工DIW墨水直写3D打印机在该类研究中功能匹配情况及需定制功能,帮助用户更好地选择合适的3D打印设备及功能模块。
高温气动挤出打印喷头:配备温度范围:室温~300℃,满载容量为10cc的料筒,独立式控温,打印材料在料筒及针尖均可实现精确温控模块制备PCL支架。
高温平台:提供打印平台恒温环境,便于提高打印过程中PCL支架的粘附力。
高温平台:模块化设计,区域尺寸:100mm*100mm;控温范围:室温-100℃。
由于小编学识所限,文中内容难免存在疏漏或不足之处。若您发现任何错误或值得商榷的观点,恳请不吝指正,
小编将第一时间修正完善。感谢您的包容与支持!
本文内容来源于网络公开素材,发布的目的在于学术交流、研讨分享,
如相关内容涉及侵权,请联系我们,将第一时间下架内容!

森工科技亮相第四届陶瓷增材制造前沿科学家论坛 罗建旭发表“高性能非金属材料挤出直写与粘接剂喷射工艺解决方案”主题报告

森工科技 AutoBio2000多通道食品3D打印机助力深圳大学化学与环境工程学院食品科学与工程系范方辉团队登顶食品工程 TOP 期刊

DIW直写3D打印机在陶瓷材料科研领域的应用及优势

深圳森工科技有限公司生物3D打印机在科研领域应用的核心优势

森工AutoBio1000DIW直写高分子材料3D打印机助力北京化工大学团队在《JACS》发表高水平论文

挤出式生物3D打印机——技术解析与场景应用指南